おかげさまで開設25周年NOITHATBTHOME.COM 創業祭

NOITHATBTHOME.COM

詳しくはこちら
マイストア マイストア 変更
  • 即日配送
  • 広告
  • 取置可能
  • 店頭受取

HOT ! 【希少】ALPHA THETA-C AT-6100 AlphaTheta Chordcat review: functionality in a compact package

※NOITHATBTHOME.COM 限定モデル
YouTuberの皆様に商品の使い心地などをご紹介いただいております!
紹介動画はこちら

ネット販売
価格(税込)

29150

  • コメリカード番号登録、コメリカードでお支払いで
    コメリポイント : 3ポイント獲得

コメリポイントについて

購入個数を減らす
購入個数を増やす

お店で受け取る お店で受け取る
(送料無料)

受け取り店舗:

お店を選ぶ

近くの店舗を確認する

納期目安:

13時までに注文→17時までにご用意

17時までに注文→翌朝までにご用意

受け取り方法・送料について

カートに入れる

配送する 配送する

納期目安:

2025.10.10 2:26頃のお届け予定です。

決済方法が、クレジット、代金引換の場合に限ります。その他の決済方法の場合はこちらをご確認ください。

※土・日・祝日の注文の場合や在庫状況によって、商品のお届けにお時間をいただく場合がございます。

即日出荷条件について

受け取り方法・送料について

カートに入れる

欲しいものリストに追加

欲しいものリストに追加されました

【希少】ALPHA THETA-C AT-6100 AlphaTheta Chordcat review: functionality in a compact packageの詳細情報

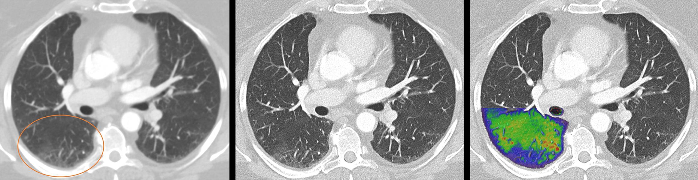
AlphaTheta Chordcat review: functionality in a compact package。A Visual Interpretation Algorithm for Assessing Brain。Amazon.com: HGST Ultrastar He8 | HUH728080ALE600 | 0F23267。ご覧いただきありがとう御座います。瞑想や呼吸法とは異なり、長い時間を掛けずに脳波をアルファ波~シータ波まで誘導してくれます。私感では綺麗な方だと思いますが、中古品になりますので、ご理解いただける方のみご購入ください。宜しくお願い致します。Siemens Healthineers announces FDA 510(k) clearance of。【商品情報】開発者:政木和三 工学博士商品:アルファシーターC型番:AT-6100サイズ(約):長96✕幅56✕厚17 mm重量(約):約70g発生周波数:固定側151Hz      可変側140~147Hz      周波数差4~11Hz電源:3V(単4電池2本)状態:動作品付属品: ヘッドホン、説明書【商品説明】瞬間湯沸かし器、電気炊飯器、エレキギター、嘘発見機などを生み出した政木先生の発明品アルファシーターです。骨格模型 脊椎 背骨。リラクゼーショングッズ KANNAWAY Pure Gold 2000mg CBD 120mL。〈期待できる効果〉・大脳全体の活性化、潜在的な能力の発揮・記憶力の向上、寝付きの改善動作確認済み。〈nina〉COMTHERAN Beauty〈O〉II コンセラン。正規品 新品 究極のShakti セット オリジナル ブラック。購入後はプチプチと段ボールで梱包し、2〜3日以内に佐川急便/日本郵便で発送する予定です。CBN アイソレート 20g オランダ産 純度99% 送料込み。ドクターエア ストレッチロール3 ブラック ESR-07BK。#脳波#瞑想#脳科学#シータ波#アルファ波#リラックス
  • AlphaTheta Chordcat review: functionality in a compact package
  • A Visual Interpretation Algorithm for Assessing Brain
  • Amazon.com: HGST Ultrastar He8 | HUH728080ALE600 | 0F23267
  • Siemens Healthineers announces FDA 510(k) clearance of

同じカテゴリの 商品を探す

ベストセラーランキングです

このカテゴリをもっと見る

この商品を見た人はこんな商品も見ています

近くの売り場の商品

このカテゴリをもっと見る

カスタマーレビュー

オススメ度  4.3点

現在、3203件のレビューが投稿されています。